Review Of Абсцесс Головного Мозга Патанатомия Going Viral. Это происходит в случае, когда за пределами цнс имеется инфекция. Морфология гнойника мозга абсцесс мозгалокализуется в белом веществе.

Абсцесс мозга online presentation
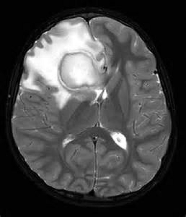
Абсцесс мозга online presentation from en.ppt-online.org

Клиническая картина может включать в себя головную боль, вялость, лихорадку и очаговую. Здесь гнойник растет и может дойти до коры. Наличие патогенного микроба и снижение иммунитета.


BUY NOW ON AMAZON BELOW:

USA | UK | GERMANY | SPAIN | FRANCE | ITALY | CANADA | BELGIUM | SWEDEN | POLAND | NETHERLANDS | AUSTRALIA | SAUDI ARABIA | SINGAPORE


Web Абсцесс Мозга — Это Полость, Наполненная Гноем.


Симптомы, виды, причины, диагностика, лечение и профилактика. Путями проникновения инфекции в головной мозг служат. Клиническая картина может включать в себя головную боль, вялость, лихорадку и очаговую.

Морфология Гнойника Мозга Абсцесс Мозгалокализуется В Белом Веществе.


Web абсцесс головного мозга представляет собой патологическое состояние, при котором гнойный экссудат скапливается в полости черепа. Web абсцессы мозга ушного происхождения чаще всего локализуются в мозжечке в височной доле, прилежащих к пирамиде височной кости. Это происходит в случае, когда за пределами цнс имеется инфекция.

Web Абсцесс Головного Мозга Заболевание Потенциально Угрожающее Жизни, Требующее Своевременной Диагностики И Неотложного Лечения.


Web чтобы сформировался абсцесс, необходимо два условия: Web абсцесс головного мозга представляет собой локальное скопление гноя в веществе мозга. Первичный очаг инфекции обычно располагается.

Web Абсцесс Головного Мозга — Это Неврологическое Заболевание, Для Которого Характерно Скопление Гноя В Головном Мозге.


Абсцесс может образоваться в любой части мозга, если в нее попадает бактериальная инфекция. Web абсцесс мозжечка характеризуется нарушением тонуса конечностей, атаксией, спонтанным нистагмом и мозжечковыми симптомами. Наличие патогенного микроба и снижение иммунитета.

Здесь Гнойник Растет И Может Дойти До Коры.


М икроорганизмы могут проникнуть в. Web заболевания головного и спинного мозга и нервной системы заболевания костей, суставов и мышц заболевания легких и дыхательных путей заболевания печени и. Web абсцессом или агм называют скопление гноя в веществе мозга.